恵比寿の歯医者『恵比寿新橋いかわ歯科医院』の公式サイトです。恵比寿で歯医者は女医在籍の当院まで。
恵比寿で女医在籍の歯医者である『恵比寿新橋いかわ歯科医院』では、「入れ歯でお困りの方」 「歯を抜かないといけないと言われた方」 「歯周病が気になる方」 「歯並びが気になる方・お子様」 『恵比寿新橋いかわ歯科医院』では、削らない、神経を残すと言った歯に優しく質の高い精密な治療を行うことで「長持ちする治療」、生涯を通して患者さまの大切な口腔内を守る「かかりつけ医」となれるよう丁寧な治療をさせて頂きます。 また口腔内の写真を撮ることで治療前後の違いや治療内容など“見える治療”を心掛け、患者さまには、ご自身の口腔内についてよく知っていただき、できる限り“予防”を意識していただけるよう努めてまいります。
「できるだけ削らない」「できるだけ神経を残す」といった「歯にやさしい治療」によって、再治療になりにくく「長持ちする治療」の実現のため、専門性を活かし、質の高い精密で細部までこだわった治療を行います。
口腔内のお写真などによって、治療前後の状態を実際に見ていただき、ご自身の口腔内についてよく知っていただくことで、できる限り“予防”を意識していただけるよう「見える治療(治療の見える化)」に努めています。
生涯を通して患者さまの大切な口腔内を守り、そのことで全身の健康と健康寿命の延伸につなげていき、健康で快適な生涯を送れるように「かかりつけ医」として診ていくための、丁寧な診療に取り組んでいます。

恵比寿の歯医者『恵比寿新橋いかわ歯科医院』には、「日本歯周病学会認定 歯周病専門医」が在籍しています。 日本歯周病学会は、歯周病を克服することで自分の歯を1本でも多く残すことを目的に設立された学術団体です。 日本歯周病学会歯周病専門医に認定されている歯科医師は全国で約1,200人となっています。※2022.1

恵比寿の歯医者『恵比寿新橋いかわ歯科医院』には、「日本歯科保存学会認定 歯科保存専門医」が在籍しています。 日本歯科保存学会は、いつまでも自分自身の歯で噛めるように、大切な歯を口腔内に維持、保存、機能させていくための研究教育を目的とした3つの専門分野である「保存修復学」「歯内療法学」「歯周病学」に関わる人々の集まりです。
























恵比寿の歯医者『恵比寿新橋いかわ歯科医院』では、カウンセリングの重視、パノラマX線システムを完備し被ばく量を抑えつつ診査診断への活用、流行感染症対策の強化、世界基準の滅菌・衛生管理、痛みに配慮した歯科治療、MI(ミニマルインターベンション)の考えに沿ったできる限り削らない・神経を取らない・抜かない治療、マイクロスコープ(歯科用実体顕微鏡)を使用した精密根管治療や精密審美治療、プライベートに配慮した診療スペースなど、評判や口コミにつながる理由が確立しています。
根管治療は、歯の内部にある根管内の感染した歯髄を除去し、無菌状態にしたうえで充填することで歯を残す治療です。しかし、根管は非常に複雑な構造をしており、適切に治療しなければ再感染のリスクが高まり、最悪の場合は抜歯が必要となることもあります。当院では、このようなリスクを最小限に抑えるため、経験豊富な専門歯科医師による「精密根管治療」を提供しています。 当院の専門歯科医師は、数多くの根管治療を経験しており、一般的な症例はもちろん、再治療が必要な難症例にも対応しています。「過去に根管治療を受けたが、痛みが取れない」「抜歯しか選択肢がないと言われた」といったお悩みをお持ちの方も、ぜひ一度ご相談ください。当院では、可能な限り歯を残せるよう、精密な診断と治療を心掛けています。
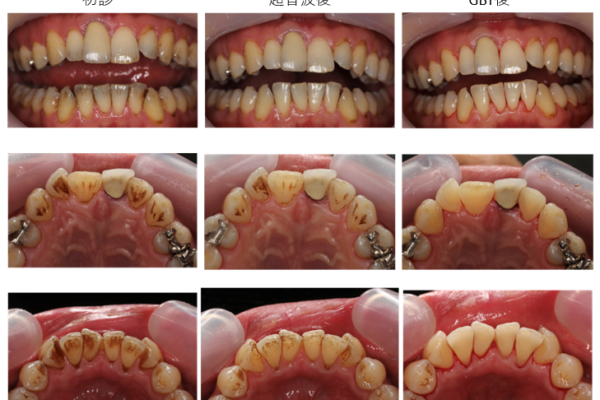
これまでのラバーカップやブラシ、超音波スケーラーなどを使用したクリーニングや歯石取りは、場合により歯の表面や補綴物を傷つける可能性がありました。しかしエアフローを使用する「GBTメインテナンス」であれば、エナメル質より柔らかい象牙質や、人工物である被せ物・インプラントなどへのダメージを最小限に抑えてバイオフィルムを除去することができます。そのため、天然の歯や被せ物・インプラントを長く使っていただけます。当院では、今までのケアに痛みや不快感を感じていた方にも、このGBTメインテナンスをおすすめしています。
恵比寿の歯医者『恵比寿新橋いかわ歯科医院』では、一般的な保険治療から、より質の高い自由診療まで、幅広い診療内容をカバーし、患者様お一人おひとりの多彩なニーズに対応しております。歯周病の治療、むし歯の治療、マイクロスコープによる精密根管治療、白い歯・セラミック治療、審美・低侵襲のインプラント治療、ノンクラスプデンチャーなどをはじめとする義歯・審美入れ歯、ワイヤーによる歯列矯正・矯正治療からマウスピース矯正、各種ホワイトニング、歯のクリーニング、お子様の治療と予防、定期検診・歯科検診など、様々な治療をカバー。「総合的にレベルの高い治療の提供」を大切にしております。
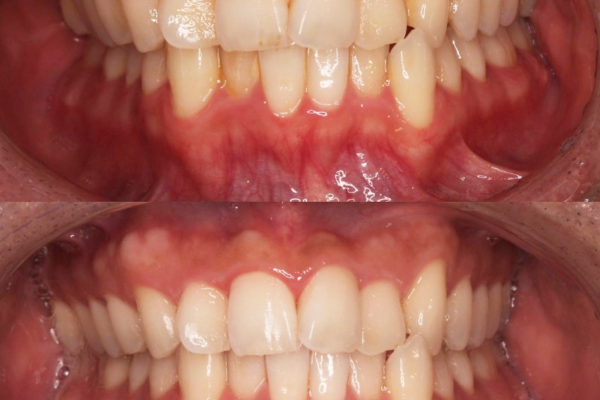
恵比寿の歯医者『恵比寿新橋いかわ歯科医院』の症例集です。当院で行った各種歯科治療の一部を掲載しています。
恵比寿の歯医者『恵比寿新橋いかわ歯科医院』では、全ての患者様から「安心して治療を受けられる」「信頼できる」「治療を受けて良かった」と感じていただける歯医者でありたいと考えています。 「歯医者が苦手」「痛みが不安」」といった方も少なくありませんが、恵比寿の歯医者『恵比寿新橋いかわ歯科医院』では、そのような患者様のご不安や心配な点をできるかぎり解消できるよう、特にカウンセリングを大切にしています。
当院では、インフォームドコンセント(説明と同意)を大切に考えております。お一人おひとりの症状やお悩み、そしてご希望などを丁寧にお伺いし、ここにして良かったと感じていただける歯医者でありたいと考え、初診時のカウンセリングに注力しています。 そもそも歯医者が苦手という方、治療や痛みが不安という方は少なくありません。カウンセリング時にはご遠慮なくご質問下さい。 カウンセリングでは、「現在のお口の中の状態」、「現在の状態になった経緯」、「治療の方法」について詳しくご説明させていただいた上で、患者さまと歯医者が一緒に今後の相談をします。痛くなったから治療して終わりといった方向性では、再治療の繰り返しになってしまいます。カウンセリングは、10年後、20年後の健康にために、最善の治療方法を話し合う大切なお打ち合わせです。大切な歯を守り、健康に生き生きと生活していけるようにしていくために、お口の健康について考えていただくためにカウンセリングがあります。
恵比寿の歯医者『恵比寿新橋いかわ歯科医院』は、「恵比寿駅」徒歩8分、「広尾駅」徒歩9分(新橋通り沿い)という、恵比寿エリアの通いやすい立地にあります。また「恵比寿新橋商栄会」といい、このエリアはテレビや雑誌で話題の飲食店やスイーツ、癒しのヘアサロンやマッサージサロン、 お花や激安寝具のショッピングまで、お散歩がてらに一周りするのも楽しい街です。口コミや評判なども含め、恵比寿エリアだけでなく、渋谷区や東京都内、さらには隣接県や遠方からも患者様に来院頂いております。
恵比寿の歯医者『恵比寿新橋いかわ歯科医院』では、良質な治療の提供を通じ、患者様の健康を口腔からお守りし、健康寿命の延伸に寄与してまいります。 ただ単に痛みがなくなる、噛めるようになるといった問題を解決するだけではなく、患者様のご希望をお聞きしたうえで、クオリティの高い治療を実現させられるよう、コミュニケーション重視のカウンセリングを行い、また先進の治療方法や設備を積極的に導入し、さらには院内感染予防の徹底などにも取り組んでまいります。 生活の質・人生の質は、お一人おひとり変わってきます。患者様の「こうなりたい」の実現のためにも、恵比寿の歯医者『恵比寿新橋いかわ歯科医院』では、患者様と向きあってまいります。
はじめまして、恵比寿新橋いかわ歯科医院の井川泰葉(いかわ やすは)と申します。恵比寿新橋いかわ歯科医院は2022年1月に恵比寿と広尾のあいだの静かな住宅街の中にある恵比寿新橋商栄会内に新規開設いたしました。 東京医科歯科大学義歯外来にて、かみ合わせ治療、審美性の高い補綴治療(被せ物や入れ歯)、睡眠時無呼吸症候群などに長年携わってきた経験・知識・技術を活かし、生涯を通して美味しくご飯が食べられるように、お口の中だけでなく全身を含め、総合的に診断し治療を行ってまいります。 子育て中の親であるからこそ、子どもの治療も安心して行えるように配慮致します。 当院では、ゆったりとした広い診療室で、時間をかけた丁寧な診療を大切にし、可能な限り歯を削らない、神経を取らない、歯を抜かない歯科治療、そして痛みに配慮した治療、よりきめ細かく、質の高い歯科治療をご提供させて頂きます。
はじめまして、恵比寿新橋いかわ歯科医院の井川貴博(いかわ たかひろ)と申します。 歯周病は成人の約8割が罹患しているといわれ、歯を失う一番の原因で、発症まで気付かず進行することがあります。また近年では、糖尿病・心血管疾患などの全身疾患との関連も指摘されています。 東京医科歯科大学歯周病学外来にて勤務し、歯周病に長年携わってきた経験・知識・技術を生かし、歯周病に対する予防・治療・メインテナンスを軸として、お口の中全体を総合的に診断し、治療を行ってまいります。そのためには原因を明確にし、今後同じようなことが起こらないよう、また生涯を通じて患者様ご自身の歯で満足いくお食事ができるようお手伝いをさせていただきます。 ご自身の歯や歯肉を守る安全かつ効果的な歯周病治療・インプラント治療や、痩せた歯肉を回復させる審美歯周治療にも力を入れ、患者様のお口の健康を守るために最善をつくさせていただく所存でございます。
恵比寿で女医在籍の歯医者である『恵比寿新橋いかわ歯科医院』では、医療機関として、まずは患者様の安全を第一に考え、流行感染症対策の強化や、クラスB滅菌器も導入し、スタンダードプリコーションや、世界基準で行う滅菌・衛生管理、ディスポーザブル(使い捨て)など、様々な対策を実施しています。また、当院は「歯科外来環境体制(外来環)」として、厚生労働省から認定された歯科医院です。 外来環とは、歯科診療時の偶発症など緊急時の対応及び感染症対策としての装置・器具の設置などの取り組みを行っている体制のことで、全歯科医院の約一割しか認められていません。